Diş Eti İltihabı Nasıl Geçer?
Diş eti iltihabı, diş etlerinin enfeksiyonu ve iltihaplanması olarak tanımlanır. Genellikle bakteriyel enfeksiyonlardan kaynaklanır ve erken aşamalarda tedavi edilmezse daha ciddi sorunlara yol açabilir. Belirtiler arasında şişmiş diş etleri, kanama ve ağrı bulunur. Düzenli ağız hijyeni ve diş hekimi kontrolleri, önleyici tedbirler arasında yer alır.
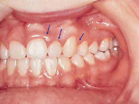
Diş Eti İltihabı Nedir?Diş eti iltihabı, diş etlerinin enfeksiyonu veya iltihaplanması durumudur. Genellikle dişlerin etrafındaki yumuşak dokularda meydana gelir ve periodontal hastalıkların başlangıç aşaması olarak kabul edilir. Diş eti iltihabının temel nedeni, dişlerdeki plak birikimi ve buna bağlı olarak bakteriyel enfeksiyonlardır. Diş Eti İltihabının Belirtileri Diş eti iltihabının belirtileri, genellikle hafif düzeyde başlar ve zamanla şiddetlenebilir. Belirtiler şunlardır:
Diş Eti İltihabının Nedenleri Diş eti iltihabının başlıca nedenleri şunlardır:
Diş eti iltihabının tedavisi, durumun ciddiyetine bağlı olarak değişiklik gösterir. Aşağıdaki yöntemler, diş eti iltihabını geçirmeye yardımcı olabilir:
Önleyici Tedbirler Diş eti iltihabını önlemek için alınabilecek bazı önlemler şunlardır:
Sonuç Diş eti iltihabı, genellikle erken aşamada tedavi edilebilir. Ancak, belirtiler göz ardı edildiğinde daha ciddi periodontal hastalıklara yol açabilir. Düzenli diş bakımı ve sağlıklı yaşam alışkanlıkları, diş eti iltihabının önlenmesinde önemli rol oynamaktadır. Diş hekimine danışmak, profesyonel tedavi ve yönlendirme almak açısından büyük önem taşımaktadır. Ekstra Bilgiler Diş eti iltihabının ilerlemesi durumunda, diş kaybına kadar gidebilen ciddi sorunlar ortaya çıkabilir. Ayrıca, diş eti hastalıklarının kalp hastalıkları ve diyabet gibi sistemik sağlık problemleriyle ilişkili olduğu bilinmektedir. Bu nedenle, diş eti sağlığına özen göstermek, genel sağlık açısından da kritik öneme sahiptir. Bu makalede diş eti iltihabının ne olduğu, belirtileri, nedenleri, nasıl geçeceği ve önleyici tedbirler hakkında detaylı bilgi verilmiştir. Diş sağlığınıza dikkat ederek, bu tür sorunların önüne geçebilirsiniz. |
.webp)










.webp)















.webp)

.webp)








Diş eti iltihabı yaşadığınızda, gerçekten de bu durumun ciddiyetini anlamak önemli. Diş etindeki iltihaplanmanın zamanla diş kaybına neden olabileceği bilgisi oldukça kaygı verici. Diş taşları ve plakların düzenli olarak temizlenmesi gerektiği vurgusu dikkatimi çekti. Özellikle diş hekimi kontrollerinin ihmal edilmemesi, iltihabın erken evrede tespit edilmesi açısından çok önemli. Kendi deneyimlerimden yola çıkarak, diş ipi ve gargara kullanımının hijyen açısından ne kadar etkili olduğunu söyleyebilirim. Diş fırçalamakla birlikte bu yöntemlerin kullanılması, diş etlerindeki kanamayı önlemek için de kritik. Antibiyotik kullanımı ile iltihabın geçmesi sağlanabiliyor fakat beslenmeye dikkat etmenin de altı çizilmiş. Diş eti iltihabının belirtileri arasında yer alan kötü ağız kokusu ve kanama durumları, yaşarken oldukça rahatsız edici. Sizce de bu tür belirtilerle karşılaştığınızda hemen bir diş hekimine gitmek en doğru adım değil mi?
Merhaba Ersen,
Yorumunuzda diş eti iltihabının ciddiyetine dikkat çekmeniz oldukça önemli. Gerçekten de diş eti iltihabı, zamanla diş kaybına neden olabilecek bir durumdur ve bu konuda bilinçli olmak gerekir. Diş taşları ve plakların düzenli olarak temizlenmesi, diş sağlığı için kritik bir rol oynuyor. Diş hekimi kontrollerini ihmal etmemek, iltihabın erken evrede tespit edilmesi açısından büyük önem taşıyor.
Kendi deneyimlerinizi paylaşmanız, diş ipi ve gargara kullanımının ne kadar etkili olduğunu göstermesi açısından faydalı. Diş fırçalamanın yanı sıra bu yöntemlerin de kullanılması, diş etlerindeki kanamayı önlemek için etkili bir strateji. Ayrıca, antibiyotik tedavisinin yanı sıra beslenmeye dikkat etmenin de altını çizmeniz, bu konudaki kapsamlı yaklaşımınızı gösteriyor.
Kötü ağız kokusu ve kanama gibi belirtiler, gerçekten de yaşam kalitesini olumsuz etkileyen durumlar. Bu tür belirtilerle karşılaşıldığında, bir diş hekimine gitmek en doğru adım olacaktır. Erken müdahale, sorunun daha da büyümeden çözülmesine yardımcı olabilir. Sağlıklı günler dilerim!