Diş Eti İltihabı Belirtileri ve Tedavisi
Diş eti iltihabı, ağız sağlığında önemli bir sorun olarak kabul edilir. Bakteriyel enfeksiyonlar nedeniyle gelişen bu durum, diş etlerinde kanama, şişlik ve kötü koku gibi belirtilerle kendini gösterir. Erken tanı ve tedavi, diş eti sağlığını korumada kritik öneme sahiptir.
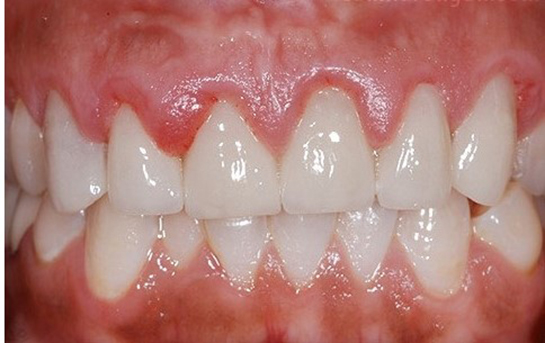
Diş Eti İltihabı: Belirtileri ve Tedavisi Diş eti iltihabı, diş etlerinin iltihaplanması olarak tanımlanan, periodontal hastalıkların en yaygın formlarından biridir. Genellikle bakteriyel enfeksiyonlar sonucu ortaya çıkmakta olup, diş etlerinde kızarıklık, şişlik ve kanama gibi belirtilerle kendini göstermektedir. Bu makalede, diş eti iltihabının belirtileri, nedenleri ve tedavi yöntemleri detaylı bir şekilde ele alınacaktır. Belirtiler Diş eti iltihabının başlıca belirtileri şunlardır:
Bu belirtiler, genellikle iltihaplanmanın ilerlemesiyle daha belirgin hale gelir. Erken teşhis ve tedavi edilmediği takdirde, diş eti iltihabı, daha ciddi periodontal hastalıklara yol açabilir. Nedenleri Diş eti iltihabının başlıca nedenleri arasında şunlar yer alır:
Bu nedenler, diş etlerinin iltihaplanmasına ve dolayısıyla diş eti sağlığının bozulmasına yol açmaktadır. Tedavi Yöntemleri Diş eti iltihabının tedavisi, iltihabın şiddetine ve nedenine bağlı olarak değişiklik göstermektedir. Genel tedavi yöntemleri şunlardır:
Erken teşhis ve tedavi, diş eti iltihabının kontrol altına alınmasında önemli bir rol oynamaktadır. Önleme Yöntemleri Diş eti iltihabını önlemek için aşağıdaki yöntemler önerilmektedir:
Bu önlemler, diş eti sağlığının korunmasında etkili olacaktır. Sonuç Diş eti iltihabı, tedavi edilmediği takdirde ciddi sağlık sorunlarına yol açabilen bir durumdur. Belirtilerinin farkında olmak ve düzenli diş hekimi kontrolleri, bu hastalığın önlenmesi ve tedavisi için kritik öneme sahiptir. Ağız hijyenine özen göstererek ve sağlıklı yaşam alışkanlıkları benimseyerek diş eti sağlığınızı koruyabilirsiniz. Bu makalede, diş eti iltihabının belirtileri, nedenleri ve tedavi yöntemleri detaylı bir şekilde incelenmiştir. Diş eti sağlığının korunması, genel sağlık üzerinde de önemli bir etkiye sahiptir. Bu nedenle, bireylerin diş eti sağlığını ihmal etmemeleri büyük önem taşımaktadır. |
.webp)










.webp)















.webp)

.webp)








Diş eti iltihabı yaşamak gerçekten zor bir durum. Sürekli ağrı ve kötü ağız kokusu ile başa çıkmak, günlük yaşamı olumsuz yönde etkileyebiliyor. Diş eti iltihabının kemiklere ulaşma riski beni endişelendiriyor; çünkü bu, daha ciddi sağlık sorunlarına yol açabilir. Antibiyotik kullanımı ve cerrahi müdahale gerekip gerekmediğini bilmek önemli. Ne zaman bir diş hekimine görünmem gerektiği konusunda kararsız kalıyorum. Belirtilerim ilerlemeden bir çözüm bulmak ve bu rahatsızlıktan kurtulmak için neler yapmam gerektiğini öğrenmek istiyorum. Bu süreci nasıl daha kolay atlatabilirim?
Diş Eti İltihabı ile Başa Çıkmak
Zevkan, diş eti iltihabı gerçekten zorlayıcı bir durum ve yaşadıklarının seni endişelendirmesi oldukça doğal. Bu tür rahatsızlıkların günlük yaşamını olumsuz etkilemesi, hem fiziksel hem de duygusal açıdan zorluk yaratabilir.
Hekim Ziyareti Zamanı
Diş hekimine görünmek için en iyi zaman, belirtilerin sürdüğü veya kötüleştiği anlardan biridir. Özellikle ağrı, kanama veya kötü ağız kokusu gibi belirtiler yaşıyorsan, vakit kaybetmeden bir uzmana danışmalısın. Diş hekimi, durumu değerlendirerek uygun tedavi yöntemlerini önerebilir.
Antibiyotik ve Cerrahi Müdahale
Eğer iltihap ciddi boyutlardaysa, antibiyotik tedavisi veya cerrahi müdahale gerekebilir. Ancak bu karar hekim tarafından yapılacak muayene sonrası verilecektir. Kendi başına bir tedavi uygulamamak en iyisidir.
Evde Alınabilecek Önlemler
Bu süreçte, ağız hijyenine dikkat etmek ve düzenli diş fırçalamak önemlidir. Tuzlu su ile gargara yapmak, iltihaplı bölgeyi rahatlatabilir. Ayrıca, sağlıklı beslenmek ve bol su içmek de bağışıklık sistemini güçlendirecektir.
Unutma, profesyonel bir görüş almak her zaman en sağlıklı yoldur. Geçmiş olsun, umarım en kısa zamanda rahatsızlığından kurtulursun.
Diş eti iltihabı nedeniyle dişlerimde sürekli bir ağrı ve kötü ağız kokusu yaşıyorum. Bu iltihap gerçekten kemiğe vurabilir mi? Hangi aşamada antibiyotik kullanmam gerekiyor veya cerrahi müdahale şart mı?
Uluman, diş eti iltihabı (periodontitis) ciddi bir durum olabilir ve tedavi edilmezse kemiğe kadar ilerleyebilir. Bu aşamada, diş kaybına yol açabilecek ciddi komplikasyonlar yaşanabilir. Antibiyotik kullanımı genellikle iltihabın ciddi olduğu durumlarda önerilir, ancak bu karar diş hekiminiz tarafından verilmelidir. Cerrahi müdahale ise iltihabın yaygın olduğu ve diğer tedavi yöntemlerinin yetersiz kaldığı durumlarda düşünülebilir. En doğrusu, bir diş hekimine başvurarak kişisel bir tedavi planı oluşturmanızdır. Geçmiş olsun!